|
Ultrafast lasers have transformed the worlds of clinical research by revealing biological mechanisms in greater detail than previously possible. Femtosecond lasers are the critically enabling tools in multiphoton microscopy, where shorter pulses generally enable brighter images.
|
|
|
|
|
Nanodiamonds Shine New Light on Bio Applications
Defect complexes in nanodiamond particles, which consist of vacancies trapped by nitrogen atoms, form different color centers depending on the nitrogen state present in the diamond. New research into these color centers indicates that nanodiamond particles are ideal for molecular-imaging and cell-labeling bioprobe applications.
|
|
|
|
|
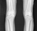
Tested in mice, the probe detected the activity leading to cartilage loss in joints. As the osteoarthritis progressed, the probes’ brightness levels increased. This was the first study to demonstrate that NIR fluorescence can be used to detect osteoarthritis changes, according to a research team led by Tufts University School of Medicine.
|
|
|
|
Modified Genes Triggered by Blue Light
Crossing a bacterium’s viral defense system with a flower’s response to the sun yields a light-based trigger for genes. This type of control could enable deeper study of specific genes’ functions, create complex systems for growing tissue and perhaps healing technologies, according to researchers at Duke University.
|
|
|
|
|
Frequency Combs
TOPTICA Photonics, Inc.
TOPTICA’s difference frequency comb DFC operates with CERO technology (“zero-vCEO”) which obtains a phase-stable laser output with an inherently vanishing frequency offset.
More info >>
|
|

|
|
Custom Laser Module
Necsel
The IR-RGB-V Matrix platform allows you to customize up to eight lasers in a module with the cost and performance metrics to enable your next product.
More info >>
|
|

|
|
SPECTRA X Light Engine
Lumencor, Inc.
The SPECTRA X light engine from Lumencor is the ultimate integrated solid-state excitation source for fluorescence microscopy.
More info >>
|
|

|
|

|
|
Dual Inverted SPIM
Applied Scientific Instrumentation, Inc.
Applied Scientific Instruments has developed a new form of light sheet microscopy with our collaborators in the scientific community.
More info >>
|
|

|
|
WEBINAR
|
Biophotonic Imaging for Medicine: A Digital Conference

Thu, Jun 11, 2015 1:00 PM - 5:00 PM EDT

FREE WEBINAR

 |
Researchers from around the world will present their latest work at “Biophotonic Imaging for Medicine: A Digital Conference.” The online event will feature a series of 15- and 30-minute talks, each followed by a brief question-and-answer period.
Presentations will focus on a range of light-based imaging and microscopy techniques for diagnosing and assessing illness, and for studying other attributes and functions of biological tissue in a medical context. Topics include photoacoustics, adaptive optics, light-sheet microscopy, optical coherence tomography, spectroscopy for biomedical research and image-guided procedures.
|
|
|
|
|
|
|
Photonics Media is currently seeking technical feature articles on a variety of topics for publication in our magazines (Photonics Spectra, Industrial Photonics, BioPhotonics and EuroPhotonics). Please submit an informal 100-word abstract to Group Publisher Karen Newman at karen.newman@photonics.com
|
|
|
|
sponsor
 |
sponsor
 |
sponsor
 |
sponsor
 |
|