Search
Menu
Meadowlark Optics - Wave Plates 6/24 LB 2024
< More BioPhotonics NewsletterSubscribe to our E-Newsletters

BioPhotonics Newsletter — Stimulated Raman Photothermal Microscopy, Virtual Histology, and more… (1/17/2024)

BioPhotonics Newsletter — Stimulated Raman Photothermal Microscopy, Virtual Histology, and more…
Monthly newsletter focusing on how light-based technologies are being used in the life sciences.
If you are having problems seeing this newsletter, please click here to view
Wednesday, January 17, 2024
Monthly newsletter focusing on how light-based technologies are being used in the life sciences. Includes news, features and product developments in lasers, imaging, optics, spectroscopy, microscopy, lighting and more. Manage your Photonics Media membership at Photonics.com/subscribe.

 
Stimulated Raman Photothermal Microscopy Provides Ultrahigh Sensitivity
Stimulated Raman Photothermal Microscopy Provides Ultrahigh Sensitivity
Stimulated Raman scattering (SRS) microscopy has shown enormous potential in revealing molecular structures, dynamics, and couplings in complex systems. Yet, the sensitivity of SRS is fundamentally limited to millimolar level due to the shot noise and small modulation depth. The SRS process pumps molecules to their vibrationally excited states. Thereafter, relaxation heats up the surrounding environment and induces refractive index changes. By probing the refractive index changes with a laser beam, stimulated Raman photothermal microscopy has been developed, where a >500-fold boost of modulation depth is achieved.
Read Article
 
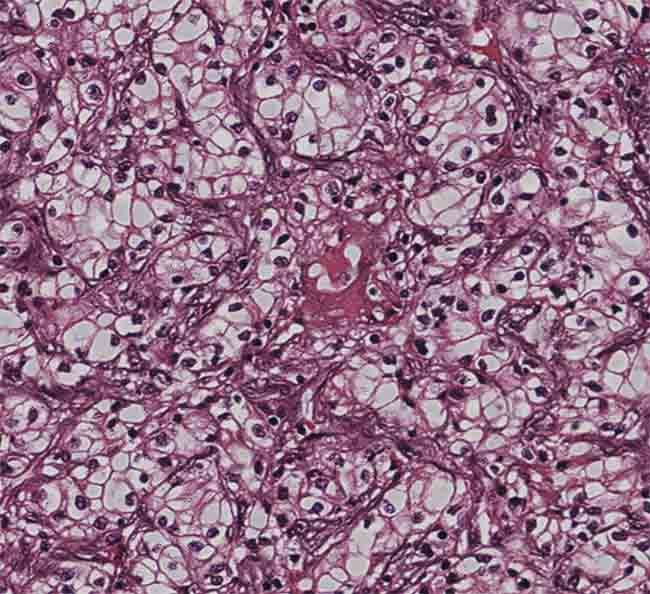
Virtual Histology: Democratizing Diagnostic Anatomic Pathology
Virtual Histology: Democratizing Diagnostic Anatomic Pathology
Histology is the microscopic examination of stained and sectioned cells and tissue. Traditional histological examination requires a sequence of essential sample processing steps, including fixation, embedding, sectioning, and staining. In medicine, histological studies are employed for diagnosing disease, prognosticating its development, and forecasting treatment response. Staining highlights important features of the tissue and enhances tissue contrast; histological sections are typically 2 to 10 µm in thickness and are therefore transparent under brightfield microscopy unless they are stained.
Read Article
 
Algorithm Boosts Live-Cell Imaging's Capabilities
Algorithm Boosts Live-Cell Imaging's Capabilities
A new implementation of superresolution radial fluctuations (SRRF), called enhanced superresolution radial fluctuations (eSRRF), was introduced by a team at the Gulbenkian Science Institute. According to the research team, eSRRF provides substantial improvements to image fidelity, resolution, and user-friendliness, compared to the original SRRF.
Read Article
 
.: Featured Products & Services

 
Omicron-Laserage Laserprodukte GmbH - Maximize Impact, Minimize Size: Omicron's New LuxX.HP Diode Laser - Higher Power at Your Fingertips! Maximize Impact, Minimize Size: Omicron's New LuxX.HP Diode Laser - Higher Power at Your Fingertips!

Omicron-Laserage Laserprodukte GmbH
Discover Omicron's latest LuxX.HP, a diode laser doubling power in a compact LuxX design. Seamlessly integrating electronics, it operates at 600 mW for 405-nm and 488-nm wavelengths. Ideal for biophotonics, it ensures stability and precision in limited spaces. Visit us at SPIE Photonics West 2024, booth #4529.

 Visit Website   Request Info 



Vision Research Inc., Phantom Digital High-Speed Cameras - Ultrafast Optical Coherence Tomography (OCT) with Phantom High-Speed Camera Ultrafast Optical Coherence Tomography (OCT) with Phantom High-Speed Camera

Vision Research Inc., Phantom Digital High-Speed Cameras
A noninvasive imaging technique, optical coherence tomography (OCT) has proven incredibly revealing in biomedical applications like ophthalmology and laryngology. High-speed OCT-based systems using Phantom Machine Vision cameras offer the ability to perform ultra-long record times and real-time image analysis.

 Visit Website   Request Info 



 
Zaber Technologies Inc. - Watch a Fast 3.8 Second Scan! Watch a Fast 3.8 Second Scan!

Zaber Technologies Inc.
Customize your own high-speed fluorescence microscope with our online configurator. Choose from a range of hardware modules. Design for speed (scan 96-well plates at 5× in as little as 3.8 seconds) or capacity (scan up to 6 microplates at once). Prices start at $25,000.

 Visit Website   Request Info 



Applied Scientific Instrumentation Inc. - Single-Objective Light Sheet Single-Objective Light Sheet

Applied Scientific Instrumentation Inc.
Based on the OPM and SCAPE technologies and developed in collaboration with Leica Microsystems, microscope enables fast and gentle volumetric imaging of fluorescent biological samples over many time points and multiple channels, all while using conventional sample mounting.

 Visit Website   Request Info 



 
Etaluma Inc. - LS850 Fully Automated Microscope LS850 Fully Automated Microscope

Etaluma Inc.
The LS850 Microscope is the latest generation of our fully automated three-channel flagship model and offers the latest advances in optics, cameras, throughput, and user flexibility delivering image quality, motion speed, illumination, and software flexibility.

 Visit Website   Request Info 



Optikos Corporation - Life Science Product Development Life Science Product Development

Optikos Corporation
Optikos engineering services will help bring your next medical device or diagnostic product from design to market. Optics makes amazing things possible in life sciences, and Optikos makes it happen.

 Visit Website   Request Info 



 
Sutter Instrument Company - NAN™Open-Design Upright Microscope NAN™Open-Design Upright Microscope

Sutter Instrument Company
The Sutter NAN™ — A focusing nosepiece microscope designed for electrophysiology. The microscope frame has been reimagined around our highly-stable adjustable MT-70 manipulator gantry stands; this design choice allows many possible configurations to match the ever-expanding applications in the field of electrophysiology.

 Visit Website   Request Info 



Rocky Mountain Instrument Co. (RMI) - Custom Optical Assemblies Custom Optical Assemblies

Rocky Mountain Instrument Co. (RMI)
Custom optical assemblies for your life science applications including microscopy, spectroscopy, and biotech imaging. Proven technologies in fast prototyping, design consultation, and vertically integrated manufacturing.

 Visit Website   Request Info 



 



 


.: In Case You Missed It

 
SPIE Names 2024 Fellows Class
SPIE Names 2024 Fellows Class
SPIE, the international society for optics and photonics, has named 47 fellows of the society, comprising the organization’s class of 2024. Fellows are members of SPIE who have made significant scientific and technical contributions in the multidisciplinary fields of optics, photonics, and imaging.

Read Article
 
Optical Imaging Circuit Bridges Timescales in High-Speed Photography
Ultrafast optical imaging is typically measured in picoseconds, whereas high-speed electronic cameras image at the millisecond and microsecond timescale. To bridge the gap between these technologies, a research team at the University of Tokyo developed a technology they’re calling “spectrum circuit,” a precision optical circuit that allows superfine images to be taken over multiple timescales at high speed. Using the new technology, the researchers demonstrated nanosecond photography as well as ultrawide-time-range, high-speed photography.

Read Article
 
Researchers Develop High-Precision Dual-Color Optogenetic Brain Probe
Researchers at the University of Massachusetts Amherst have developed a dual-color optogenetic neural probe. Unlike previous, single-color probes, which often control brain activity in only one direction — either excitation or inhibition — this new design can enhance and silence the electrical activities of the same neurons within specific cortical layers of the brain. It promises to aid the investigation of tightly packed neural microcircuits within the cortex and deep brain regions and, in the longer term, add to the functional mapping of the brain.

Read Article
 
.: Upcoming Webinars

 
Quantum Efficiency Measurements: Fundamentals for Solar Cell Research, Part 2 Quantum Efficiency Measurements: Fundamentals for Solar Cell Research, Part 2
Wed, Feb 21, 2024 1:00 PM - 2:00 PM EST
In part two of this series, representatives from MKS Newport present an in-depth discussion on equipment and test configurations used for cutting edge cell development such as perovskites and multi-junction cells. These configuration topics include device interfacing, light generation techniques, and signal detection. They discuss specific requirements that are needed to take these measurements as well as the key challenges researchers run into during experimentation. In addition to quantum efficiency measurements, they also review I-V curve generation and analysis for solar module level parameter testing. Join MKS Newport experts to learn and dig into the world of solar cell design measurements and how to set up a lab for success. Presented by MKS Newport.
 Register Now 



.: Next Issue:

 
Features
Laser Speckle Imaging, Raman Spectroscopy, Confocal Microscopy, and Fiber-based Endoscopy

Photonics Media is currently seeking technical feature articles on a variety of topics for publication in our magazine BioPhotonics. Please submit an informal 100-word abstract to Senior Editor Doug Farmer at Doug.Farmer@Photonics.com, or use our online submission form www.photonics.com/submitfeature.aspx.

 

About BioPhotonics

BioPhotonics is the global resource for research, business and product news and information for the biophotonics community and the industry's only stand-alone print and digital magazine.

Visit Photonics.com/subscribe to manage your Photonics Media membership.

 View Digital Edition     Manage Membership 



 
We use cookies to improve user experience and analyze our website traffic as stated in our Privacy Policy. By using this website, you agree to the use of cookies unless you have disabled them.